当院の症例紹介
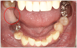
奥歯のインプラント(噛むと銀歯のブリッジが痛い)
【治療前】

【治療後】

奥歯のインプラント(GBR)
【治療前】

【治療後】

結合組織移植術(下がってしまった歯茎の見た目を改善したい)
【治療前】

歯茎が下がって、歯の根っこが見えています
【治療後】

歯茎で歯の根っこが覆われたので、見た目が改善されました
ラミネートベニア(歯がかなり小さく変色している )
【治療前】
上の左側の2番目の歯が矮小歯(わいしょうし)で、更に歯の神経が死んで変色しています。
【治療後】

歯の根っこの治療を行い、ホワイトニングをしてから、ラミネートベニア治療を行いました。
矮小歯(わいしょうし)とは
歯の大きさが、通常の歯と比べて非常に小さい歯のことです。
形は歯の形態をそのまま小さくしたようなものや、円錐のように変化してしまっているものもあります。
2番目の前歯や、親知らずなどによく見られます。
オールセラミック(歯並びの悪さがコンプレックス)
【治療前】

右上の2番目の歯が、隣の歯に重なってしまっています。
【治療後】

オールセラミックを装着して、歯並びを治しました。
オールセラミック(右前歯だけ色が変わってしまっている)
【治療前】

右上1番の歯の神経が死んでしまっているために、変色してしまっています。
【治療後】

ファイバーコアという土台を装着し、オールセラミックのかぶせ物を装着ました。
歯冠破折(バイクで転倒し、歯が2本折れてしまった)
【治療前】

転倒(バイクによる交通事故)によって、左の前歯2本が折れてしまっている状態でした。
【治療後】

コンポジットレジンとオールセラミックのかぶせ物で修復しました。
